ВАЖНЕЙШИЕ НАУЧНЫЕ РЕЗУЛЬТАТЫ ФУНДАМЕНТАЛЬНЫХ ИССЛЕДОВАНИЙ ИНЦ СО РАН 2019-2020 гг.
ОТДЕЛ РЕГИОНАЛЬНЫХ ЭКОНОМИЧЕСКИХ И СОЦИАЛЬНЫХ ПРОБЛЕМ, ПОЛУЧЕННЫЕ в 2019 г.
1. В рамках развития «зеленой» экономики России и Байкальского региона экологизация недропользования должна рассматриваться как первоочередное направление вследствие объемов и характера нанесенного экологического ущерба окружающей среде предприятиями горнопромышленной отрасли Иркутской области, а также их влияния на здоровье населения. Недропользование должно быть встроено в развитие национальной системы управления инновационным процессом с единым государственным центром реализации инновационной политики в стране. Совершенствование системы рыночных и фискальных инструментов экологизации недропользования со стороны государства включает формирование рынка «зеленых» облигаций, возвращение практики накопления экологических платежей в федеральных и региональных экологических фондах, открытие для общественности всей экологически значимой информации компаний-недропользователей для контроля и проведения научных исследований.
Упразднение Байкальского региона как объекта стратегического планирования в региональной политике государства согласно новой Стратегии пространственного развития и разделение его субъектов между двумя федеральными округами требует нового институционального оформления системы регулирования природоохранной и социально-экономической деятельности в Центральной экологической зоне (ЦЭЗ) на Байкальской природной территории (БПТ). Взаимосвязанность хозяйств Иркутской области и Бурятии на основе единой байкальской природно-технической системы обусловила необходимость передачу управления природоохранной деятельностью и устойчивым развитием с федерального на межрегиональный уровень. Предлагается образование соответствующего органа, объединяющего деятельность экономических и экологических департаментов региональных правительств Байкальского региона, ответственного за согласование целей экономического развития и защиты экосистемы оз. Байкал через совместное планирование и регулирования отдельных видов деятельности в ЦЭЗ.
Рис. 1. Система управления Байкальской природной территорией
Рис. 2. Предлагаемые полномочия межрегионального уровня управления развитием Байкальской природной территории
Публикации по результату:
1. Сысоева Н.М., Кузнецова А.Н. Байкальская природная территория в новой сетке макрорегионов Сибири // ЭКО. 2019. № 5. С. 89-105. DOI: 10.30680/ЕСО0131-7652-2019-5-89-105
2. Сысоева Н.М., Кузнецова А.Н., Дец И.А., Виолин С.И. Социально-экономическое развитие Иркутской области – взаимодействие с наукой // Труды Вольного экономического общества России. Том 218. Москва. № 4/2019. С. 489- 496.
3. Кузьмин М.И., Рукавишников В.С., Сысоева Н.М., Гребенщикова В.И., Кузнецова А.Н.
Россия на пути к «зеленому» недропользованию // Химия в интересах устойчивого развития. 2019. № 5. С. 536-545. DOI: 10.15372/KhUR2019171
2. В силу крайней сложности управляемой социально-экономической системы, развитие экономических субъектов в рамках формирования особых экономических зон должно строиться на основе глубокой детализации способов и механизмов поддержки предпринимательства в соответствии с этапностью процессов создания и развития бизнеса. При этом нами выделяется видимый и невидимый сегменты развития бизнеса, имеющие собственные градации этапов эволюции, на основе учёта специфики которых и должны формироваться разнообразные политики поддержки предпринимательства, в том числе, в особых экономических зонах (рис. 1). Для каждого варианта политик сформированы собственные принципы и оценочные механизмы.
Публикации по результату:
1. Белоусова С.В. Проблемы реализации современных тенденций пространственного развития в регионах Восточной Сибири// ЭКО. 2019. № 7. С. 54-79. DOI: 10.30680/ЕСО0131-7652-2019-7-54-79.
. Белоусова С.В. Координация как важнейший элемент управления сложной системой (на примере общественного сектора) // Идеи и идеалы. – 2019. – Том 11. – №2, часть 2. – С. 371-394. DOI: http://dx.doi.org/10.17212/2075-0862-2019-11.2.2-371-394.
3. Belousova S.V. Problems of Management of the Public Sector as Difficult System // Smart Technologies and Innovations in Design for Control of Technological Processes and Objects: Economy and Production. FarEastСon 2018. Smart Technologies and Innovations in Design for Control of Technological Processes and Objects: Economy and Production, vol 138. Springer, Cham 2019. Р. 621-631. DOI: https://doi.org/10.1007/978-3-030-15577-3_58. https://link.springer.com/chapter/10.1007/978-3-030-15577-3_58
4. Belousova S.V. Problems of Development of Tax Incentives in Spatial Aspect // Smart Technologies and Innovations in Design for Control of Technological Processes and Objects: Economy and Production. FarEastСon 2018. Smart Innovation, Systems and Technologies, vol 138. Springer, Cham 2019. Р. 632-641. DOI: https://doi.org/10.1007/978-3-030-15577-3_58
https://link.springer.com/chapter/10.1007/978-3-030-15577-3_58
3. Рассмотрены различные варианты регулирования оз. Байкал на основе статистических данных притока за 115-летний период наблюдений. Результаты моделирования показали, что выполнение действующего законодательства, в том числе Правил использования водных ресурсов, и Постановления №234 во многих случаях невозможно. Определен наиболее эффективный (устойчивый) вариант регулирования оз. Байкал (рис. 1), обеспечивающий выполнение основных современных требований водопользователей (водозаборы, водный транспорт) и условий незатопления г. Иркутск.
Выполнено моделирование максимальных уровней воды в оз. Байкал при прохождении паводков разной вероятности (обеспеченности) для различных вариантов допустимых расходов через Иркутскую ГЭС (табл. 1). Результаты показывают, что превышение отметки 457,00 м ТО возможно не только в годы экстремально высокой, но и в годы повышенной водности. Поэтому необходимо расширение допустимого диапазона регулирования оз. Байкал, предусмотренного Постановлением Правительства №1667 от 27 декабря 2017 г. (455,54–457,85 м ТО). Для предотвращения затопления нижнего бьефа ИГЭС необходимо ограничить её максимально допустимый расход объемом 2800–3200 м3/с, при экстремальных паводках – 4200 м3/с.
Рис. 1. Моделирование уровенных режимов оз. Байкал
Публикации по результату:
1. Никитин В.М., Абасов Н.В., Бычков И.В., Осипчук Е.Н. Уровенный режим озера Байкал: проблемы и противоречия // География и природные ресурсы. №4, 2019. С.74-83.
4. Проведена оценка потенциала реиндустриализации регионов Восточной Сибири (Красноярский край, Иркутская область, Забайкальский край, республики Тыва, Хакасия и Бурятия) за 2010 и 2016 гг. Предложен алгоритм расчета индекса потенциала реиндустриализации на основе составляющих его элементов (производственного, научно-технического, кадрового и инвестиционного). По всем рассматриваемым аспектам лидирует Красноярский край, за ним следует Иркутская область. Важнейшее значение имеет анализ научно-технического потенциала региона, который отражает вложения в исследовательскую инфраструктуру, обещающие технологические изменения, что оказывает существенное влияние на кадровый и инвестиционный потенциал. Прослеживается снижение потенциала реиндустриализации с запада на восток и с севера на юг (рис. 1). В целом, территориальное распределение потенциала данных субъектов можно охарактеризовать как устойчиво неравномерное. Новые объекты индустриализации связаны преимущественно с процессом освоения новых источников природных ресурсов, а не с созданием высокотехнологичных производств.
Рис. 1 – Индекс потенциала реиндустриализации регионов Восточной Сибири в 2016 г.
Индекс: I — высокий (>0,9000), II — средний (0,6000–0,8999), III — ниже среднего (0,4000–0,5999), IV — низкий (<0,3999). 1 – железные дороги.
Границы: 2 – субъектов РФ, 3 – государственная.
Публикации к результату:
1. Руднева В.А. Оценка потенциала реиндустриализации регионов Восточной Сибири // География и природные ресурсы. №4, 2019. С. 176-183.
2. V. Rudneva. Innovation potential of Eastern Siberia for reindustrialization (for example Krasnoyarsk and Irkutsk) // Studies of the Industrial Geography Commission of the Polish Geographical Society. V. 33. No. 4. (Web of Science).
Научные результаты ОРЭСП за 2020 г.
1. Взаимодействие регионов как фактор укрепления единого экономического пространства страны должно быть усилено за счет совместного решения проблем нерыночного характера, обусловленных спецификой совместного положения ряда регионов и сходного набора ресурсов и активов, которые в настоящее время решаются через федеральный уровень, но требуют организованного сотрудничества самих субъектов РФ. Выделено три группы таких проблем – связанные с использованием природных ресурсов, что важно для ресурсных регионов, задачи ликвидации экологических последствий и улучшения среды обитания, а также проблемы сохранения человеческого потенциала, особенно в регионах с устойчивым оттоком населения. Институциональные формы реализации такого взаимодействия могут формироваться на базе существующих межрегиональных ассоциаций, государственных корпораций развития или совместных органов соответствующих подразделений региональных администраций.

Рис. 1 Проблемы территориального характера как объект межрегионального взаимодействия
Публикации:
1. Sysoeva N.M., Fattakhov R.V., Stroev P.V. National management system of Baikal protection // Revista Genero & Direito. 2020. V.8, iss. 3, pp. 126-147. (индекс. в Web of Science).
2. Сысоева Н.М., Кузнецова А.Н. Межрегиональное сотрудничество в системе управления пространственным развитием // Научные труды Вольного экономического общества России. – 2020. – Т. 223. - № 3. – С. 413-419. DOI: 10.38197/2072-2060-2020-223-3-413-419.
3. Виолин С. И. Корпорация развития как инструмент решения межрегиональных проблем (на примере Байкальской природной территории) // Бизнес. Образование. Право. - 2020. № 3 (52). - С. 254–259. DOI: 10.25683/VOLBI.2020.52.330.
4. Калюжнова Н.Я., Виолин С.И. Умная специализация российских регионов: возможности и ограничения // Экономика, предпринимательство и право. – 2020. – Том 10. – No 10. – С. 2457-2472. DOI: 10.18334/epp.10.10.111061.
5. Сысоева Н.М., Кузнецова А.Н. Межрегиональное взаимодействие в Арктической зоне // Глобальные проблемы Арктики и Антарктики: сборник науч. материалов Всерос. конф. с междунар. участием, посвящен. 90-летию со дня рождения акад. Н.П. Лавёрова. - Архангельск, 2020. - С. 893-898.
6. Сысоева Н.М. Трансграничные взаимодействия населения в зоне экономического коридора Китай-Монголия-Россия // Региональное развитие: экономика и социум. Специальная тема: Национальные проекты: материалы II Всероссийской научно-практической конференции, Кемерово, 8-9 октября 2020 г. - Кемерово: КемГУ, 2020. С. 72-73.
2. Лесная отрасль является примером провалов государственного управления по широкому ряду исследованных характеристик и анализа проблем отрасли на примере Иркутской области. При этом сама провальность уже имеет весьма широкие исследовательские толкования, начиная от преднамеренности, дисфункциональности, дистопийности до диверсионности, патологичности и др. Изучена массовое делинквентное поведение власти, основанное на действии сформированной институционально-психологической ловушки власти, которая последовательно формирует управленческие проблемы. Действие ловушки построено на совместном сжатии или выдавливании управленческих действий в область неэффективности благодаря реализации, по меньшей мере, четырёх однонаправленных эффектов.

Рис. 2. Действие институционально-психологической ловушки власти
Рис. 2. Действие институционально-психологической ловушки власти
Предлагается выделение комплексного национального проекта «Ответственное управление». Под этим термином предлагается рассматривать комбинаторно зависимое управление, в рамках которого действия государства должны подчиняться принципам публичного партисипативного менеджмента и конфигурационного управления. В лесной сфере реализация нацпроекта «Ответственного управления» может быть осуществлена в виде создания детальной системы управления (сопряженной с адекватным общественным мониторингом и контролем) жизненным циклом леса в его основных ипостасях: как экосистемы, ресурса и продукта.
Таблица 1. Реализация национального проекта «Ответственное управление» в лесной сфере
|
Защитная функция леса (факторы изменения экосистемы) |
||
|
Браконьерство и замусоривание |
Лесозащитное районирование и система охрана |
|
|
Незаконная вырубка леса |
Инвентаризация леса и технологии контроля лесов |
|
|
Лесные пожары |
Технологии мониторинга и профилактики пожаров |
|
|
Болезни и гибель леса |
Лесопатологические обследования и лесопатологиче- ский мониторинг |
|
|
Ресурсная функция леса (жизненный цикл ресурса) |
||
|
Этап рабочего проектирования лесо- водственных мероприятий |
Лесное планирование и лесоуправление |
|
|
Лесокультурный этап |
Система лесохозяйственных технологий и нормативов ухода за лесом |
|
|
Этап ухода за насаждениями |
Система лесохозяйственных технологий и нормативов по выращиванию |
|
|
Этап рубки и восстановления леса |
Планирование и организация воспроизводства лесных ресурсов |
|
|
Жизненный цикл продукта из древесины |
||
|
Начальный капитал/стадия развития |
Развитие социально-экономической безопасности территории |
|
|
Стадия роста |
Создание особых условий и поддержки начала бизнеса и его кризиса |
|
|
Зрелость |
Всесторонняя поддержка расширения номенклатуры и границ рынка |
|
|
Уход с рынка |
Поддержка диверсификации бизнеса |
|
Публикации:
1. Belousova S.V. The Failure State and Problems of Forest Exploitation in Russia (on the Example of the Irkutsk Region). IOP Conference Series Material Science and Engineering 2020 753(7), 072024. Doi: 10.1088/1757-899X/753/7/072024. (индекс. в Scopus).
2. Belousova S.V. Problems of Management of the Public Sector as Difficult System // Smart Innovation, Systems and Technologies 2020 138, pp. 621-631. DOI: https://doi.org/10.1007/978-3-030-15577-3_58. (индекс. в Scopus).
3. Belousova S.V. Problems of Development of Tax Incentives in Spatial Aspect // Smart Innovation, Systems and Technologies 2020 138, pp. 632-641. DOI: https//doi.org/10.1007/978-3-030-15577-3_58. (индекс. в Scopus).
4. Белоусова С.В. Провальное государственное управление лесопользованием в России (на примере Иркутской области) // ЭКО. – 2020. - № 3. – С. 106-135. DOI: 10.30680/ECO0131-7652-2020-3-106-135.
5. Белоусова С.В. Восточносибирская тайга – уникальный экорегион или территория управленческих провалов? // Самарская Лука: проблемы региональной и глобальной экологии. 2020. – Т. 29. – № 3. – С. 95-112. DOI 10.24411/2073-1035-2020-10337.
3. Строительство является одной из наиболее укорененных отраслей, базирующейся в основном на местных трудовых и материальных ресурсах, динамика которой отражает реализацию потенциала экономического роста территории. Исследование институциональной структуры строительства в Байкальском регионе выявило зависимость рентабельности отрасли от доли микро-предприятий в ее структуре (до 120 млн руб. годовой выручки), которые представляют собой наиболее доступные для населения формы участия в материальном производстве без крупных капитальных вложений. В Иркутской области, где эта доля минимальна (менее 40 % от числа предприятий), рентабельность продаж и рентабельность активов наиболее высокие по сравнению с другими субъектами Байкальского региона, в то время как в Бурятии, при доле микро-предприятий около 70 %, рентабельность собственного строительства снизилась до отрицательных значений, увеличивая присутствие строительных организаций из Иркутской области. Вместе с тем в последние годы проявляется тенденция укрупнения предприятий, что должно положительно сказаться на развитии отрасли и динамике воспроизводственных процессов в регионе.

Рис. 3. Структура строительной отрасли Байкальского региона в разрезе масштаба компаний (строительство жилых и нежилых зданий).

Рис. 4. Рентабельность продаж строительных компаний Байкальского региона в %

Рис. 5. Рентабельность активов строительных компаний Байкальского региона в %
Публикации:
1. Filatov E.A., Rudych L.G. Analysis of the Filatov model of the construction industry in the Baikal region // IOP Conf. Series: Materials Science and Engineering (UK), 2020. 880, 012093.
DOI: 10.1088/1757-899X/880/1/012093 (индекс. в Scopus).
2. Filatov E.A. Factor Analysis of Investment Returns of Gross Regional Product of Irkutsk Region // International Scientific Conference "Far East Con" (ISCFEC 2020). Advances in Economics, Business and Management Research, volume 128. P. 956-963. DOI: https://doi.org/10.2991/aebmr.k.200312.131. (индекс. в Web of Science).
3. Filatov E.A. Factor analysis of the knowledge intensity of the invested capital of Russia by Filatov's methods // International Scientific Conference "Far East Con" (ISCFEC 2020). Advances in Economics, Business and Management Research, volume 128. P. 964-972. DOI: https://doi.org/10.2991/aebmr.k.200312.132. (индекс. в Web of Science).
4. Filatov E.A. Analysis of profitability of production in the construction industry of the Irkutsk region // IOP Conf. Series: Materials Science and Engineering (UK), 2020. V. 945, 012005. DOI:10.1088/1757-899X/945/1/012005 (индекс. в Scopus)
ОТДЕЛ МЕДИКО-БИОЛОГИЧЕСКИХ ИССЛЕДОВАНИЙ И ТЕХНОЛОГИЙ
ссылка на ОСНОВЫЕ РЕЗУЛЬТАТЫ ЗА 2019 г.
1. Применение нового препарата Устекинумаб при язвенном колите
Оценена эффективность устекинумаба - антагониста субъединицы р40 интерлейкина-12 и интерлейкина-23, в качестве индукционной и поддерживающей терапии у пациентов с язвенным колитом. Рандомизированные, плацебо контролируемые испытания с участием 961 пациента, показали эффективность устекинумаба для индукции и поддержания ремиссии у пациентов, с язвенным колитом средней и тяжелой степени тяжести. Частота серьезных побочных эффектов при применении устекинумаба была такой же, как при приеме плацебо.
Результат опубликован в статье:
Sands B.E., Sandborn W.J., Panaccione R., O’Brien C.D., Zhang H., Johanns J., Adedokun O.J., Li K., Peyrin-Biroulet L.,Assche G.V., Danese S., Targan S., Abreu M.T., Hisamatsu T., Szapary P., Apartsin.K.A. Ustekinumab as induction and maintenance therapy for ulcerative colitis. // New England Journal of Medicine, 381(13), 1201-1214. (DOI: 10.1056/NEJMoa1900750) Web of Science, Impact Factor: 79,258
2. Оценка биомаркеров органной недостаточности при токсическом повреждении печени
Моделирование острого токсического повреждения печени крыс путём однократного введения CCl4 показало, что на 4-е сутки исследования выявлены деструктивные изменения: очаги некроза гепатоцитов; расширенные синусоидальные капилляры со скоплениями эритроцитов; группы нейтрофилов и лимфоцитов вокруг некротически измененных гепатоцитов; увеличенные в объеме ядра ретикулоэндотелиальных клеток; прогрессирующая или тотальная жировая и гидропическая дистрофия гепатоцитов.Установлено, что повреждение клеток печени при токсическом воздействии с необратимыми изменениями возникает к возникает к четвертым суткам исследования с разрушением митохондрий и других внутриклеточных органелл.
Рисунок 1 – Крыса, структура печени при остром токсическом повреждении, 4-е сутки эксперимента, световая микроскопия: 1 – балки гепатоцитов; 2 – вакуолизированные гепатоциты; 3 – очаги липидов; 4 – макрофаги, лейкоциты, лимфоциты. А - окраска гематоксилином и эозином; Б - окраска суданом III. Увеличение × 150.
Результат опубликован в статье:
Влияние токсического повреждения печени на структурные изменения митохондрий и внутриклеточных органелл Лепехова С.А., Гольдберг О.А., Прокопьев М.В., Курганский И.С., Киреева В.В., Иноземцев П.О., Апарцин К.А. Экспериментальная и клиническая гастроэнтерология. 2019. № 3 (163). – С. 77-81 DOI: 10.31146/1682-8658-ecg-163-3-77-80; Scopus, Импакт-фактор 2,32
Результаты трансляционных исследований молекулярных механизмов патогенеза органной недостаточности
ОСНОВЫЕ РЕЗУЛЬТАТЫ ЗА 2020 г.
В рамках трансляционных исследований проводятся экспериментальные исследования, по выявлению связей показателей биомаркеров клеточных повреждений с изменениями при развитии патологического процесса на модели язвенного колита (рис.1). Проведен анализ результатов по выявлению ассоциации полиморфных вариантов генов, вовлеченных в регуляцию артериального давления. Изучена частота полиморфизмов CYP2C19, VEGFR-2 Genes у пациентов с острым коронарным синдромом у бурят и жителей Центральной Сибири [ ElenaM. Zelenskaya, GalinaI. Lifshits, Konstantin Yu Nikolaev, Oyuna S. Donirova, Vadim D. Altayev, Konstantin A. Apartsin, Elena N. Voronina, Konstantin V. Protasov, and Dmitry A. Sychev. Genetic Testing and Molecular Biomarkers.Jun 2020.338-342.http://doi.org/10.1089/gtmb. 2019. IF; табл.]. Впервые теоретически обосновано применение донорской фекальной микробиоты реконвалесцентов для лечения пациентов с тяжелой формой COVID-19 с кишечными проявлениями [Apartsin K, Smirnova V. Convalescent fecal microbiota transplantation asapossiblet reatment for COVID-19. Clin Res Hepatol Gastroenterol.2020;44(5):e113-e114. doi:10.1016/j.clinre.2020.08.003 IF; Рис.2].
|
CYP2C19 |
|
|
|
|
A/A |
6 (8.5) |
8 (11.4) |
5 (7.15) |
|
A/G |
16 (22.9) |
15 (21.4) |
9 (12.8) |
|
G/G |
4 (5.8) |
4 (5.8) |
3 (4,3) |
Таблица Частота полиморфных вариантов генов CYP2C19, VEGFR-2
|
Рис.1 Результаты оценки биомаркеров клеточных повреждений на модели язвенного колита
|
Рис.2 Схема устройства для подготовки донорского фекального материала к трансплантации |
ИНТЕГРАЦИОННАЯ ПРОГРАММА
«Фундаментальные исследования и прорывные технологии как основа опережающего развития Байкальского региона и его межрегиональных связей» 2019г.
1. «Опасные геологические процессы в Байкало-Монгольском регионе на территориях активного природопользования: сопоставление, оценка, прогноз»
На качественно новом, современном инструментальном уровне оценен ключевой ряд параметров, характеризующих сейсмическую активность, опасные экзогенные явления, современные движения земной коры, интенсивные деформации породного массива, радиоактивные эманации и другие проявления опасных геологических процессов в Байкало-Монгольском регионе. Для ряда геолого-геофизических параметров и полей оценены перспективы их использования с целью выявления предвестников сильных землетрясений в Прибайкалье. Обобщены исследования по оценке радоноопасности подземных вод в Южном Прибайкалье и показано, что вариации содержания радиоактивного газа имеют колебательный характер (рис. 1). На основе пятилетнего ряда ежемесячных измерений установлен генеральный тренд колебаний, определяющийся в основном метеорологическими факторами. Он может быть использован в качестве основы для поиска эманационных предвестников сильных землетрясений в регионе.
|
|
|
Рис. 1. Участок мониторингового опробования подземных вод и эпицентры землетрясений на схеме разломов Байкальского региона (А), а также график флуктуаций объемной активности радона в одном из источников подземных вод в сравнении с графиком сейсмической активности (Б). 1 – разломы; 2 – границы Байкальского рифта; 3 – участок мониторинга; 4 – эпицентры землетрясений различного энергетического класса от 10 (а) до 15 (б), произошедшие в период 2012-2019гг, (с) – землетрясения, произошедшие за период месячного ежесуточного мониторинга. |
Результат опубликован в статье:
Seminsky K.Zh., Seminsky A.K. Radon concentration in groundwater sources of the Baikal region (East Siberia, Russia) // Applied Geochemistry. 111 (2019) 104446. https://doi.org/10.1016/j.apgeochem.2019.104446. Импакт-фактор журнала – 3,2.
ВСЕ ВАЖНЕЙШИЕ РЕЗУЛЬТАТЫ по ИНТЕГРАЦИОННОЙ ПРОГРАММЕ за 2019 г.
«Фундаментальные исследования и прорывные технологии как основа опережающего развития Байкальского региона и его межрегиональных связей» 2020г.
1. Способ возбуждения люминесценции и люминесцентный сепаратор алмазосодержащих материалов на его основе
Е.Ф.Мартынович, В.П.Миронов А.С.Емельянова, Д.С.Глазунов, А.А.Тютрин, С.А.Шабалин, Е.В.Бубырь, Л.В.Казаков, И.В.Бычков
|
|
Рис.1. Сопоставление спектров и кинетики люминесценции двух природных алмазов разных типов при специальном оптическом возбуждении и при рентгеновском возбуждении. Видно, что спектры и кинетика люминесценции у двух образцов существенно различны. Однако, для каждого образца при двух указанных способах возбуждения и спектры, и кинетические кривые идентичны. |
|
|
|
Рис. 2. Блок-схема сепаратора |
В настоящее время основной промышленной технологией обогащения алмазосодержащих руд является рентгенолюминесцентная сепарация. При всех известных достоинствах данного способа он имеет очевидный недостаток – его применение сопряжено с необходимостью обеспечения радиационной безопасности персонала. В результате проведенных исследований были найдены условия и режимы оптического возбуждения люминесценции алмазов, при которых обеспечивается полная идентичность спектрального и временного фотолюминесцентных сигналов от алмазов всех типов с соответствующими рентгенолюминес-центными сигналами. Полученные результаты служат физическим обоснованием возможности конструирования некоторых типов люминесцентных сепараторов без применения рентгеновского излучения.
Новизна: Представленная на рис. 2 схема сепаратора является традиционной. Ее новизна заключается в особых свойствах и режимах работы источника оптического излучения, которые здесь не раскрываются.
Область применения: На начальном этапе применение предлагаемого способа целесообразно в конструкциях доводочных сепараторов, в компактных переносных поисковых аппаратах для геологоразведочных партий, с целью приобретения опыта, практического изучения преимуществ и недостатков предлагаемого способа.
Преимущества: Радиационная безопасность, снижение металлоемкости, энергопотребления, экономичность, компактность.
Подготовлена заявка на изобретение. Публикации приостановлены в связи с патентованием.
2. Оценка основных индикаторов альтернативных стратегий развития экологически чистого теплоснабжения в центральной экологической зоне Байкальской природной территории
Руководитель: д.т.н., проф. Б. Г. Санеев
Оценены капиталовложения, потребность в энергоносителе и прирост субсидий на теплоснабжение при альтернативных стратегиях в случае запрета на сжигание угля в центральной экологической зоне для устранения выбросов загрязняющих веществ в атмосферу от объектов энергетики (см. рис.). Необходимые условия для реализации газовой стратегии: начало крупномасштабной добычи природного газа на территории Иркутской области, прохождение экспортной газотранспортной системы в Китай через Монголию по южным районам Байкальского региона, строительство завода по сжижению газа и создание системы транспортировки и хранения СПГ. Необходимые условия для реализации электрической стратегии: утверждение льготного тарифа на электроэнергию на цели теплоснабжения не выше 1 руб./кВт·ч, разработка и утверждение специальных тарифных решений, направленных на компенсацию выпадающих доходов производителей тепловой энергии. Несмотря на существенный прирост субсидий на компенсацию выпадающих доходов теплоснабжающих организаций, электрическая стратегия является наиболее приемлемой с точки зрения реализуемости в настоящее время.
Рис. Основные индикаторы альтернативных стратегий развития экологически чистого теплоснабжения в центральной экологической зоне
Результаты исследования опубликованы в статьях:
B.G. Saneev, I.Yu. Ivanova, E.P. Maysyuk and A.K. Izhbuldin. The main directions of solving energy-related environmental problems in the central ecological zone of the Baikal natural territory / IOP Conference Series: Earth and Environmental Science, Volume 381, conf. 1, 2019. 012082. DOI: 10.1088/1755-1315/381/1/012082
Иванова И.Ю., Ижбулдин А.К., Тугузова Т.Ф., Майсюк Е.П. Эколого-экономическая эффективность применения альтернативных энергетических технологий для снижения антропогенной нагрузки в центральной экологической зоне Байкальской природной территории // Альтернативная энергетика и экология (передана в печать).
3. КАЧЕСТВО ПОДЗЕМНЫХ ВОД ПОСЕЛКА ЛИСТВЯНКА (ЮГО-ЗАПАДНОЕ ПОБЕРЕЖЬЕ ОЗЕРА БАЙКАЛ)
Авторы: С.В. Алексеев, Л.П. Алексеева, А.М. Кононов, А.И. Оргильянов, П.А. Шолохов

Публикации: Алексеев С. В., Алексеева Л. П., Алексеев В. Р., Кононов А. М., Шолохов П. А. Гидрогеологические условия поселка Листвянка // География и природные ресурсы. Спецвыпуск. – 2016. – № 6. – С. 32-37.
Алексеева Л. П., Алексеев С. В., Шолохов П. А., Оргильянов А. И., Кононов А. М. Качество подземных и поверхностных вод пади Крестовая (пос. Листвянка) // География и природные ресурсы. Спецвыпуск. – 2016. – № 6. – С. 37-43.
Алексеев С.В., Алексеева Л.П., Шолохов П.А., Оргильянов А.И., Кононов А.М. Качество подземных и поверхностных вод поселка Листвянка (юго-западное побережье озера Байкал) // География и природные ресурсы. – 2018. – № 4. – С. 105-114.
4.
Сведения об опубликовании: Семинский А.К., Семинский К.Ж. Предварительные результаты исследования взаимосвязи сейсмической активности с концентрацией радона в подземных водах Южного Приангарья // Известия Иркутского государственного университета. Серия Науки о Земле. 2020. Т. 33. С. 100–111. https://doi.org/10.26516/2073-3402.2020.33.100
На основе изучения взаимосвязи интенсивности сейсмических событий (K) с концентрацией радона в подземных водах Южного Приангарья (Q) установлено умеренное прямое влияние сейсмичности на всплески радоновой активности и выявлена слабая статистическая связь между параметрами Q и K. Время «задержки» реакции эманационного поля на сейсмическое событие составляет ≈ 4 сут. Доказательством существования взаимосвязи рассматриваемых параметров явилось снижение объемной активности радона на 15-20% во всех изученных водопроявлениях после наиболее крупных сейсмических событий в регионе, произошедших в период опробования. Важной особенностью является то, что расстояния, на которых был зафиксирован отклик эманационного поля, во всех случаях превысило расчетные значения (рис.1). Представленные результаты позволяют рассчитывать на выявление в дальнейшем краткосрочных предвестников сильных землетрясений в Южном Прибайкалье, отличающемся наиболее развитой инфраструктурой в Байкальском регионе.
|
|
|
Рис. 1. Схема расположения эпицентров сильных сейсмических событий на территории Байкальского региона (2018–2019 гг.) относительно опорной сети мониторинга. 1 – крупные населенные пункты; 2 – территория расположения сети пунктов мониторинга; 3 – эпицентры сейсмических событий; 4 – расчетные зоны влияния землетрясений. |
отв. исп.: д.г.-м.н. К.Ж.Семинский
5. Инновационные вакцины
Руководитель: член-корр. РАН Р.К.Саляев
В работе изучали способность антигенного белка оболочки L1 папилломавируса аногенитального типа ВПЧ6 индуцировать иммунный ответ при пероральной вакцинации мышей вакцинным препаратом плодов томата, трансгенного по гену hpv6 L1. Для синтеза антигенного белка L1 была применена разработанная авторами растительная экспрессионная система c использованием последовательности высокоактивной вирусной репликазы (RdRP). После вакцинации мышей ВПЧ6 L1 в мононуклеарных периферических клетках крови и спленоцитах мышей значительно возрастало содержание интерферона, увеличивалось количество CD4 T лимфоцитов (хелперов) и СD8 T лимфоцитов (киллеров) (метод ЭЛИСПОТ). В спленоцитах резко увеличивалось количество фермента апоптоза – гранзима В (GRN B). Полученные данные впервые выявили индукцию иммунных клеток под влиянием белка оболочки ВПЧ аногенитального типа. Разработка имеет перспективу создания вакцины против опасных аногенитальных папилломатозов.
6. Технология извлечения мелкого золота из техногенных россыпей
Авторы: Прокопьев С.А., Прокопьев Е.С., Кадесников И.В.
Технология извлечения мелкого золота из техногенных месторождений, реализованная в конструкции обогатительного комплекса ОКВ-100 заключается в дезинтеграции и грохочении исходных песков в скруббер-бутаре, где надрешетный класс крупности более 20 мм являлся отвальным, и в виде галечника направляется в отвал. Подрешетный класс крупности менее 20 мм самотеком поступает на шлюз мелкого наполнения, для улавливания крупного золота. Хвосты шлюза мелкого наполнения объединяются в один хвостовой лоток и направляются на модуль извлечения мелкого золота, где подвергаются грохочению по классу 2 мм, с выводом в отвал материала крупнее 2 мм, и последующим обогащением класса менее 2 мм на винтовых сепараторах. При обогащении на винтовых сепараторах разделение материала, проходящего по винтовому желобу, происходит не только за счет разницы по плотностях пустой породы и минералов тяжелой фракции, но и за счет центробежных сил, которые улучшают процесс извлечения мелких фракций золота в концентрат. Доводка концентратов винтовых сепараторов производится на концентрационных столах.
Контрольное опробование показало следующие результаты:
Производительность комплекса по исходным пескам 100 (2000 м3/сут)
Выход золотосодержащего концентрата винтовой сепарации до 1,0 т/сут
Содержание золота в концентрате винтовой сепарации 124.0 г/м3
Содержание золота в хвостах ОКВ-100 0,03 г/т
Сквозное извлечение золота в концентрат ВС 71,8 %
Технология может применяться для отработки как техногенных, так и эксплуатируемых россыпных месторождениях золота.
Разработка полностью готова к практическому применению, оборудование, используемое в технологической схеме, полностью производится на территории РФ.
Капитальные вложения в реализацию проекта по переработке техногенного месторождения окупаются за половину промывочного сезона.
Рентабельность переработки техногенного месторождения с содержанием золота 0.2 г/м3 составляет 100 %, т.е. при инвестициях 100 млн. руб., прибыль золотодобывающего предприятия составит 100 млн. руб. за сезон.
Разработанная технология с использованием винтовой сепарации на 20% более эффективна при извлечении золота мелких классов крупности, по сравнению с используемыми в настоящее время отсадочной или технологии с применением центробежных концентраторов (Нельсон, Фалькон, Итомак и др.).
В настоящее время ведется подготовка документов для патентования разработанной технологии извлечения мелкого золота из техногенных россыпей.
Публикации: Статья: Актуальные способы отработки техногенных россыпных месторождений золота с технологией извлечения мелкого золота. Авторы: С.А. Прокопьев, Е.С. Прокопьев, И.В. Кадесников, Н.А. Черимичкина Журнал: Науки о Земле и недропользование
7.
Эволюция природной среды и климата байкальского региона в голоцене на основе палинологического анализа: геоархеологический аспект
Авторы: Е.В. Безрукова, А.А. Щетников
Получена новая, высокого временного разрешения и надежно датированная спорово-пыльцевая запись из отложений озера Очаул, расположенного на территории Предбайкалья. На ее основе выполнена детальная реконструкция динамики растительности и климата региона в интервале 13500–4000 кал. л.н. Проведен сравнительный палеогеографический анализ полученных данных с опубликованными ранее палинологическими записями из разреза донных отложений оз. Котокель, являющегося опорным для второй половины позднего плейстоцена и голоцена Байкальского региона. Пыльцевая запись из отложений Очаула свидетельствуют о том, что во время раннего-среднего голоцена в Предбайкалье началась экспансия лесной (древесной) растительности, сокращение - кустарниковой и травянистой растительности. Это могло сократить кормовую базу для крупных травоядных животных – важного кормового ресурса групп охотников-собирателей раннего неолита. Одновременно произошла относительно резкая перестройка атмосферной циркуляции, что повлияло на распределение атмосферных осадков в регионе и привело к увеличению мощности и продолжительности снежного покрова. Перечисленные выше обстоятельства, вероятно, стали одной из причин коллапса ранненеолитической популяции Китойского человека в Предбайкалье около 6660 кал. л.н. с последующим культурным «перерывом» во время среднего неолита (6660–6060 кал. л.н.).

Рис.1. Обобщающая диаграмма избранных индексов динамики природной среды бассейнов озер Очаул (Предбайкалье) и Котокель (Забайкалье) в позднеледниковье-раннем-среднем голоцене в сравнение с глобальными климатическими записями северного полушария (NGRIP δ18O, Dongge δ18O).
Результаты опубликованы в статье:
Kobe Franziska, Bezrukova Elena V., Leipe Christian, Shchetnikov Alexander, Goslar Tomasz, Wagner Mayke, Kostrova Svetlana S., Tarasov Pavel E., 2020. Holocene vegetation and climate history in Baikal Siberia reconstructed from pollen records and its implications for archaeology. Archaeological Research in Asia, Volume 23, September 2020, 100209. (WoS, Scopus)
DOI: https://doi.org/10.1016/j.ara.2020.100209
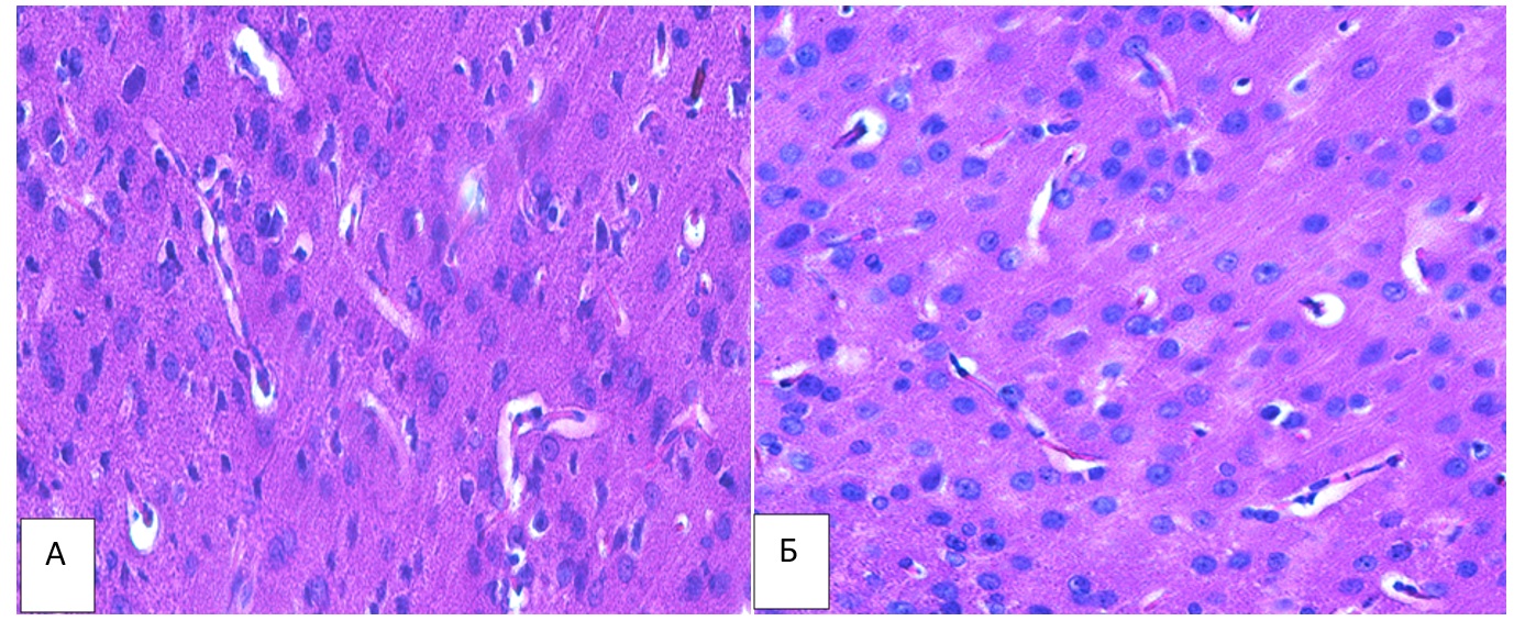
8.
Оценка биологического ответа организма на воздействие нанокомпозита селена, инкапсулированного в природную полимерную матрицу арабиногалактана
Авторы: Рукавишников В.С., Соседова Л.М., Титов Е.А., Новиков М.А.
Эффективное использование нанокомпозитов селена невозможно без предварительной оценки их безопасности методами токсикологических исследований.
Целью настоящих исследований являлась оценка морфрофункциональных изменений в центральной нервной и гепато-ренальной систем организма белых крыс на воздействие нанокомпозита селена.
Внутрижелудочное воздействие нанокомпозита селена, инкапсулированного в природную полимерную матрицу арабиногалактана в дозе 500 мкг/кг приводит к морфологическим изменениям в составе популяции клеток сенсомоторной коры головного мозга. Отмечается снижение общего числа нейронов и клеток астроглии на единицу площади, увеличивается число дегенеративно измененных нейронов и увеличивается число актов нейронофагии. Со стороны гепато-ренальной системы морфологических изменений не отмечено.

Рис. Ткань головного мозга белых крыс при подостром воздействии SeАГ в дозе 500 мкг/кг. А – опытная группа. Б – контрольная группа. Окраска гематоксилин-эозин. Ув. Х 400.
Публикации: Титов Е.А., Рукавишников В.С., Соседова Л.М., Новиков М.А. Морфофункциональные изменения ткани головного мозга, печени и почек белых крыс при воздействии нанокомпозита селена, инкапсулированного в полимерную матрицу арабиногалактана (представлена в редакцию журнала «Патологическая физиология и экспериментальная терапия»